Το SwiftMR™ είναι μια λύση τεχνητής νοημοσύνης που μειώνει τον χρόνο μαγνητικής τομογραφίας βελτιώνοντας την άνεση του ασθενούς χωρίς απώλεια ποιότητας εικόνας. Έτσι, τα ακτινολογικά κέντρα αυξάνουν την αποδοτικότητα και τα έσοδά τους.


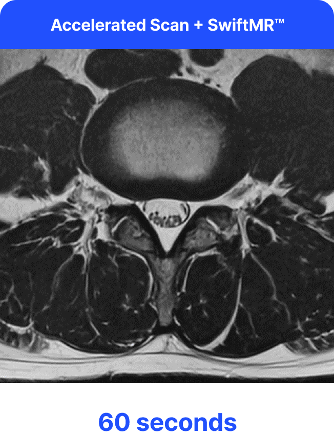
IMAGE QUALITY
2:53
Conventional MRI
0:59
SwiftMR™

Επιτάχυνση της έγκαιρης διάγνωσης και πρόληψης με το SwiftMR™
Η μαγνητική τομογραφία (MRI) είναι ένα ισχυρό διαγνωστικό εργαλείο που προσφέρει πολλά πλεονεκτήματα, όπως χαμηλή έκθεση σε ακτινοβολία, υψηλή ευαισθησία και ειδικότητα για τον έλεγχο ασθενειών. Ωστόσο, οι παραδοσιακές μαγνητικές τομογραφίες παρεμποδίζονται από τους μεγάλους χρόνους σάρωσης και το υψηλό κόστος. Το SwiftMR™ λύνει αυτές τις προκλήσεις, επιτρέποντας πιο αποτελεσματική και οικονομικά αποδοτική απεικόνιση με μαγνητική τομογραφία. Αυτό καθιστά την μαγνητική τομογραφία μια πιο προσιτή και ισχυρή επιλογή για τον έγκαιρο έλεγχο και διάγνωση ασθενειών. Ενδυναμώνοντας τους παρόχους υγειονομικής περίθαλψης ώστε να εντοπίζουν πιθανούς κινδύνους για την υγεία νωρίτερα, το SwiftMR™ συμβάλλει στον μετασχηματισμό του προτύπου υγειονομικής περίθαλψης από αντιδραστικό σε προληπτικό, βελτιώνοντας τελικά τη ζωή μέσω της προληπτικής υγείας και ευεξίας.
Σήμερα, αυτή η αποστολή πραγματοποιείται μέσω του SwiftMR™, το οποίο χρησιμοποιείται σήμερα σε περισσότερες από 15 χώρες με πάνω από 140 εκατομμύρια σαρώσεις που έχουν πραγματοποιηθεί. Μειώνοντας δραματικά τους χρόνους σάρωσης με μαγνητική τομογραφία, το SwiftMR™ ενισχύει την οικονομική αποδοτικότητα της απεικόνισης με μαγνητική τομογραφία. Αυτό δίνει τη δυνατότητα για πιο διαδεδομένη χρήση των μαγνητικών τομογραφιών για τον έγκαιρο έλεγχο και διάγνωση ασθενειών, μετατοπίζοντας την υγειονομική περίθαλψη από ένα αντιδραστικό μοντέλο σε ένα προληπτικό, προληπτικό.







Το SwiftMR είναι μια λύση βαθιάς μάθησης που επιτρέπει τη μείωση του χρόνου σάρωσης MRI, ενισχύοντας την άνεση του ασθενούς χωρίς να θυσιάζει την ποιότητα της εικόνας. Η λύση επιτρέπει στα κέντρα ακτινολογίας να επιτύχουν νέα επίπεδα παραγωγικότητας και αποτελεσματικότητας, καθώς οι μικρότεροι χρόνοι σάρωσης αυξάνουν τη ροή ασθενών — ξεκλειδώνοντας ευκαιρίες για έσοδα και ανάπτυξη.
Η ομάδα μας θα βελτιστοποιήσει τα πρωτόκολλα MRI για να επιταχύνει τις σαρώσεις, παράγοντας αρχικά ταχύτερες αλλά χαμηλής ποιότητας εικόνες. Το μοντέλο βαθιάς μάθησης του SwiftMR στη συνέχεια χρησιμοποιείται για να βελτιώσει τις επιταχυνόμενες σαρώσεις, μετατρέποντάς τις αποτελεσματικά σε εικόνες υψηλής ποιότητας.











Η ροή εργασίας και τα καθήκοντα παρέμειναν τα ίδια για τους τεχνικούς MRI μας, αλλά η μείωση του χρόνου σάρωσης είναι τόσο επιδραστική που τώρα βρίσκονται μπροστά από το πρόγραμμα – περιμένουν τους ασθενείς αντί να περιμένουν οι ασθενείς αυτούς.

Justin Kolakoski
Τεχνικός MRI στο Naugatuck Valley Radiology
Βλέπουμε ήδη μια μέση εξοικονόμηση χρόνου περίπου 35% για τις πέντε μονάδες 3T, συμπεριλαμβανομένης μιας εξοικονόμησης 20 λεπτών για σαρώσεις ολόκληρου του σώματος.

Daryl Eber, M.D.
Ιδρυτής του 3T Radiology & Research
Βλέπουμε αξιοσημείωτη βελτίωση στην ποιότητα εικόνας και λιγότερα περιστατικά κίνησης ασθενών στις εικόνες. Η εξοικονόμηση χρόνου και η βελτίωση στην ποιότητα εικόνας έχει επαναφέρει τον παλιό μας μαγνήτη MRI στη ζωή.

Timothy M. Cotter, M.D.
Ακτινολόγος, GK Medical Management
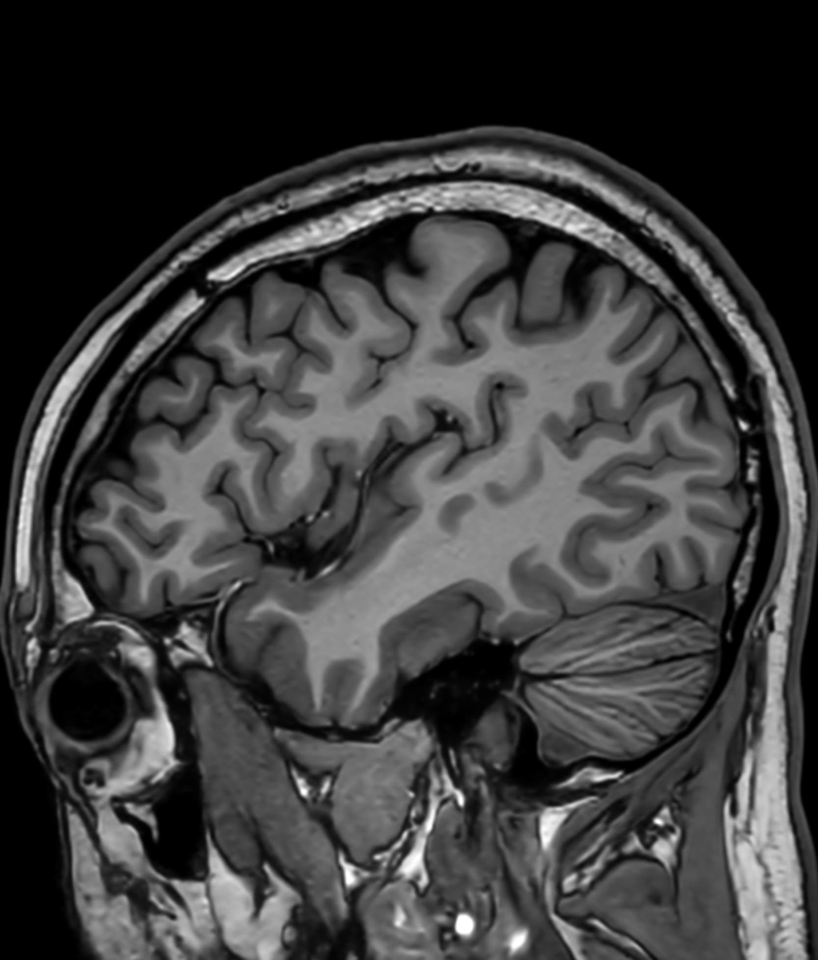
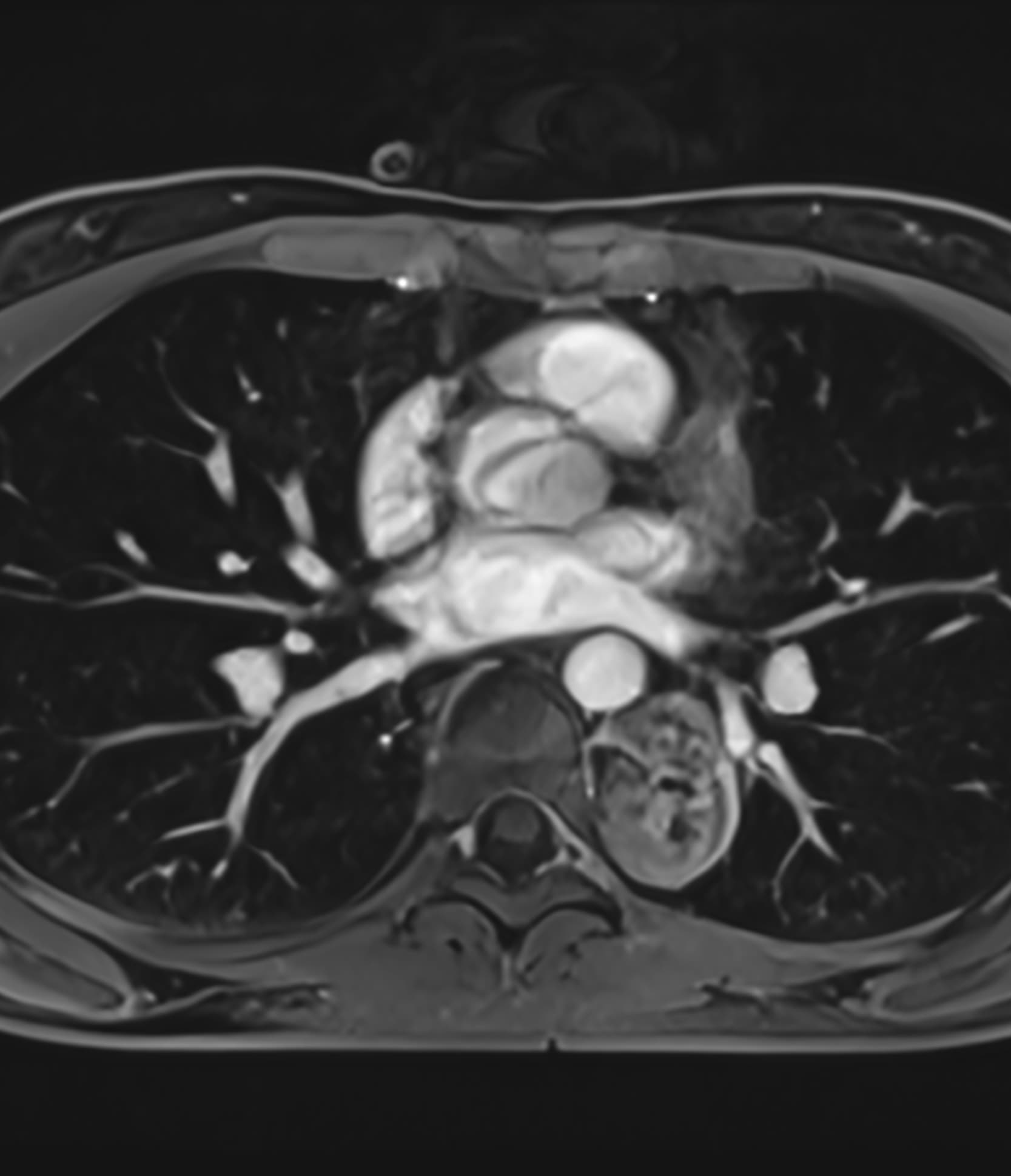
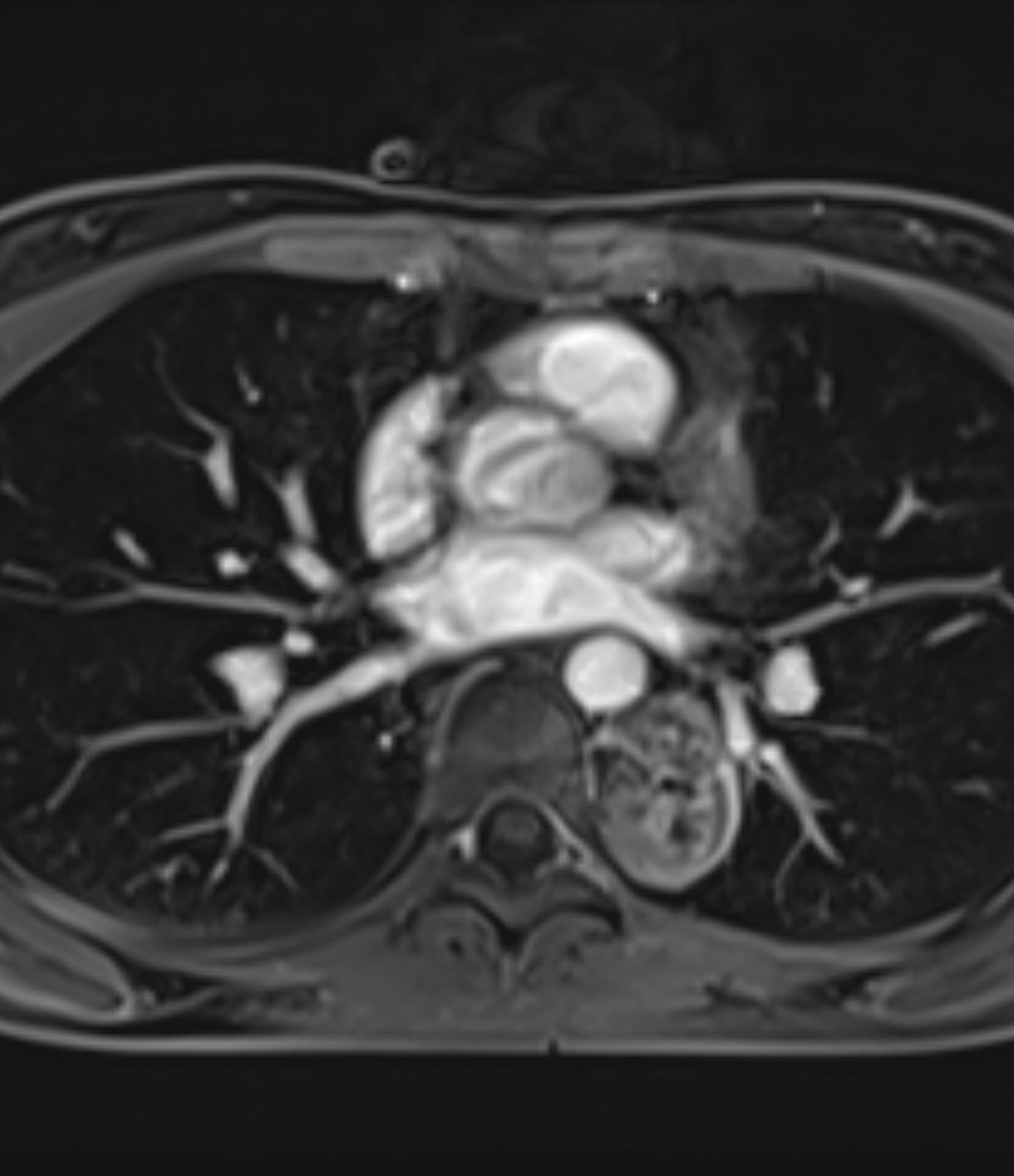
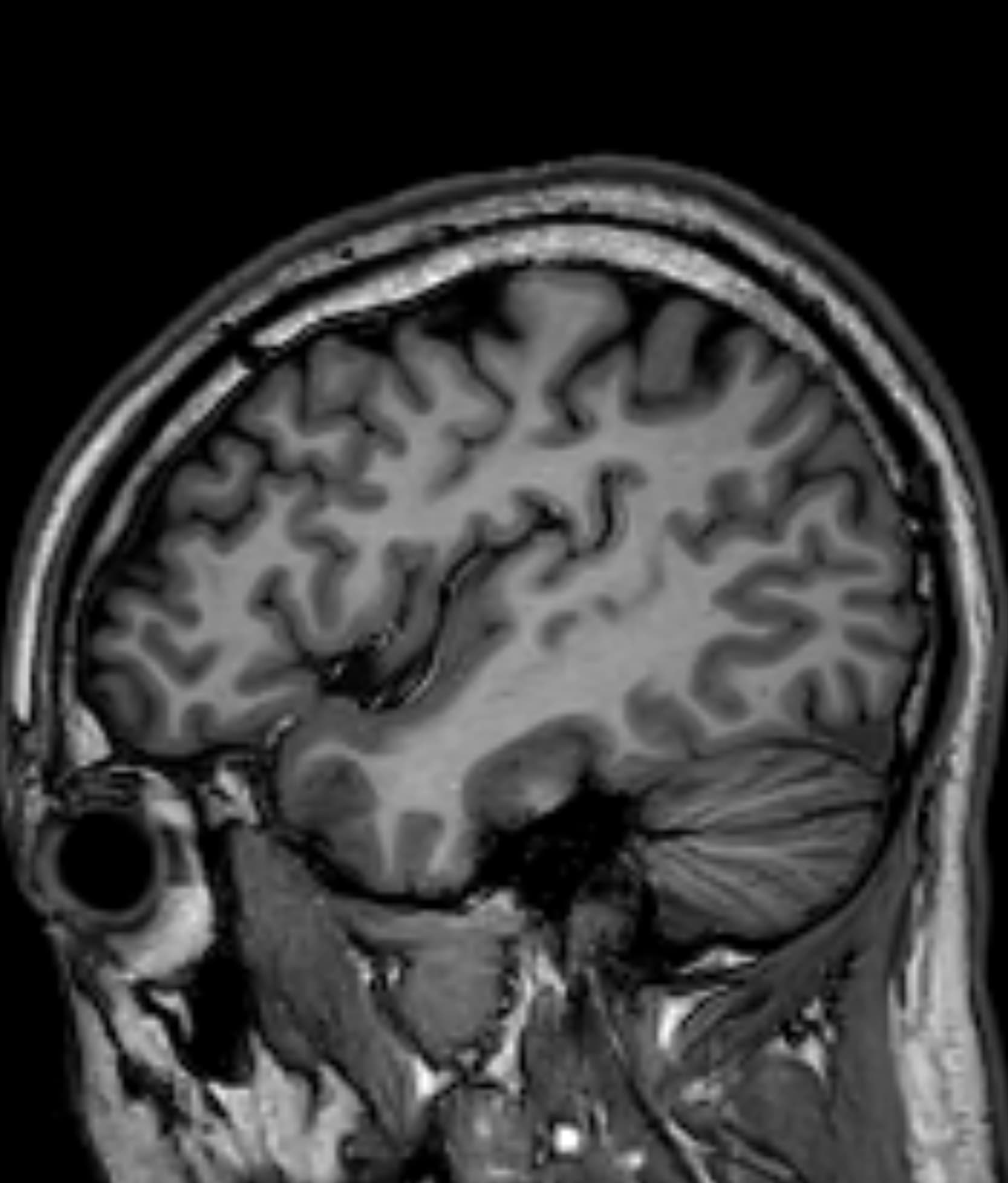
Δείτε πραγματικά παραδείγματα του SwiftMR™ σε διάφορα συστήματα MRI και ανατομικές περιοχές



Scan time 03:14

Scan time 02:07



Scan time 03:08

Scan time 1:12



Scan time 04:53

Scan time 1:46